期間限定70万円(税抜き)
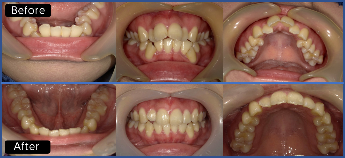
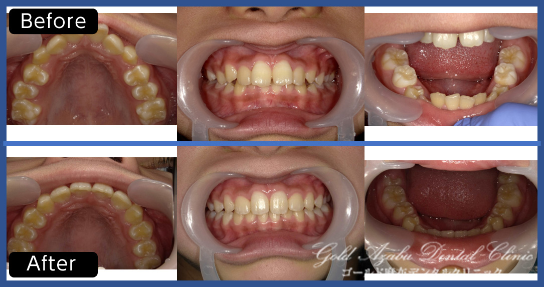
抜歯症例も可能
*条件・適応症例の制限あります
リモート相談も行なっています。
詳しくはお問い合わせください。
プラチナ・
プロバイダー
認定医
審美治療
年間症例
500件以上の実績
※マウスピース型矯正装置(インビザライン)は薬機法の対象外です
※審美治療とは審美セラミック、インビザライン、ガミースマイル治療等を指します。
