ゴールド麻布デンタルクリニック|マウスピース専門サイト

Invisalignインビザライン(矯正治療)

こんなお悩みを抱えていませんか?

Your worries

  • 目立つ矯正装置をつけたくない
  • 周囲に気づかれずに矯正したい
  • 痛みの少ない治療がしたい
  • 通院に時間をかけたくない
  • 金属アレルギーがある

このようなお悩みをもった方にお勧めの目立たない矯正治療です。

インビザライン
コンプリヘンシブ

期間限定 70万円(税抜き)

抜歯症例も可能/枚数無制限
*条件・適応症例の制限あります

リモート相談も行なっています。
詳しくはお問い合わせください。

マウスピース矯正について

Mouthpiece orthodontic

インビザライン

インビザライン(invisalign)とは、米国のアライン・テクノロジー社により開発された、全世界で 1,400万人以上の治療に使用されたマウスピース矯正装置です。
インビザラインは薄く透明なつくりになっているので、周囲に気づかれることなく矯正治療をすることができます。 ワイヤー矯正のように金属の矯正装置では「装置が目立つ」「食べ物が引っかかり食べずらい」などの理由で治療に踏み込めなかった方に、安心して行うことのできる方法です。

当院ではより精密なインビザラインを提供するため、口腔内3D光学スキャナー「iTero(アイテロ)」を使用しております。
データを直接アメリカへ送信できるので、これまでよりスピーディーに精密なマウスピースを製作することができます。
また、スキャンした画像をすぐに確認でき、歯の動きや治療後の歯並びのシミュレーションを事前にご確認いただけます。

当院におけるマウスピース矯正のメリット

Merit

  • エリアトップクラスの症例数なので安心して任せられる

    ご相談・お問い合わせ

  • 調整は毎月ではなく2~3か月ごとで大丈夫

    マウスピースの来院間隔は、2か月から3か月1年での来院回数は4回から。安心して通院できます。

    治療費のお支払いにデンタルローンのご利用が可能です。
    デンタルローンについて詳しくはこちらをご参照ください。

  • 自分で取り外せるので食事は普段と同じように可能。

    歯磨きの時にもしっかりと歯を磨けますので衛生面で優れています。

  • ワイヤー・ブラケット矯正に比べてマウスピース矯正は痛みが少ないです。
  • 金属を使用していないため、金属アレルギーの心配がありません。

症例紹介

CASE

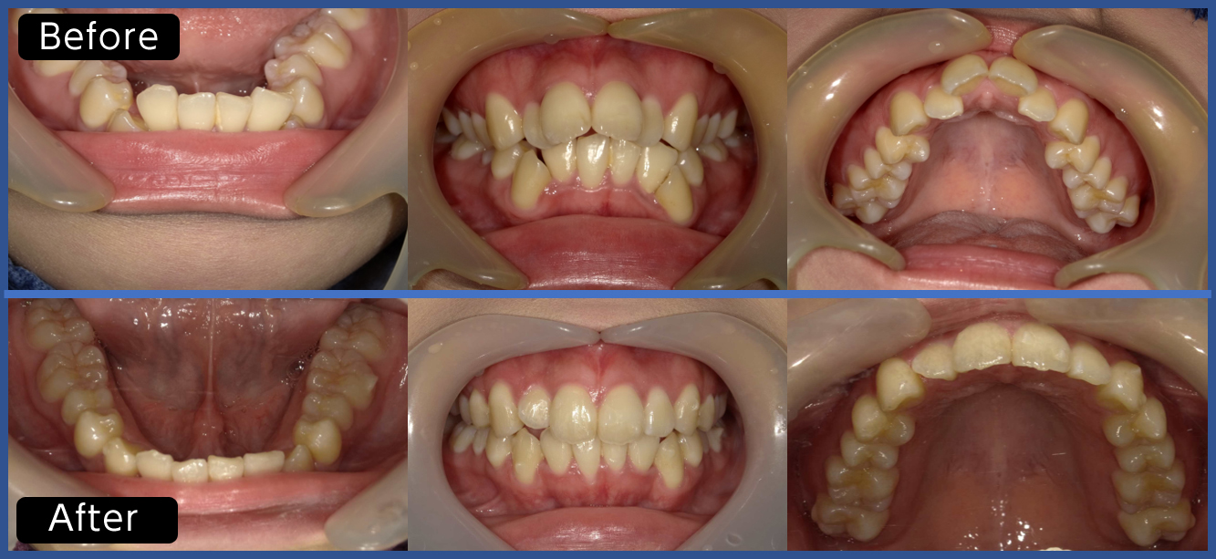
  • CASE01

    23歳 女性

    要望 出っ歯を治したい
    期間 12か月
    抜歯の有無 非抜歯
    費用 70万+消費税(インビザラインモニター)
    内容 インビザライン コンプリヘンシブ(マウスピース矯正)
    リスク マウスピースを正しく装着しないと、想定外の歯の動きが起こりうる。歯肉退縮の可能性。
    保定装置を用いないと後戻りが起こる可能性。
  • CASE02

    20歳 女性

    要望 歯並びを治したい
    期間 20か月(1年8ヶ月)
    抜歯の有無 非抜歯
    費用 82万+消費税(※モニター診療導入前)
    内容 インビザライン コンプリヘンシブ(マウスピース矯正)
    リスク 動的治療時の歯の痛み。移動量が多いため、歯の神経にダメージが及ぶこともあり得る。歯肉退縮の可能性。 保定装置を用いないと後戻りが起こる可能性。
  • CASE03

    30歳 男性

    要望 八重歯を治したい
    期間 17か月(1年5ヶ月)
    抜歯の有無 上の歯を2本抜歯
    費用 70万円+消費税(インビザラインモニター)
    内容 インビザライン コンプリヘンシブ(マウスピース矯正)
    リスク 動的治療時の歯の痛み。抜歯を伴う外科治療併用。
ゴールド麻布デンタルクリニック|マウスピース専門サイト

〒106-0047 東京都港区南麻布3-21-17
BCityTower AZABUTOKYO 12階

診療時間 日・祝
10:00~13:00
14:30~19:00

休診日:木曜・日曜・祝日 / ☆水曜午後は14:30~18:00